Рецессия десен
Рецессия? Спорим, ты сейчас начнешь гуглить, что это за болезнь? А может, уже слышал это слово от стоматолога и выпустил из головы, ты ведь слишком молод для этого? Простыми словами - рецессия десен это не болезнь, а уменьшение объема десен. Твоя улыбка изменилась, ты стал видеть шейку зуба, а может, край коронки стал выделяться, а когда-то она сидела, как родная. Кто угодно, заметив этот якобы косметический дефект, начнет волноваться.
Причин этого явления немного:

- Травматическая: неправильно установленная коронка или пломба могут натирать и десна начинают атрофироваться в этом месте. Или рецессия может быть вызвана травмой, воздействием плохих привычек, некачественно проведенным отбеливанием зубов или агрессивной чисткой щеткой. К сожалению, неправильно подобранные виниры часто приводят к рецессии десен. Даже неправильный прикус может постепенно вызвать рецессию;
- Симптоматическая: может быть вызвана заболеваниями десен (пародонтитом);
- Физиологическая: не расстраивайся, друг, но это возраст.
Симптомы рецессий десен
Даже на начальной стадии рецессию легко обнаружить. Прямо сейчас подойди к зеркалу и улыбнись так искренне, чтобы была видны десна. Зубной ряд должен быть равномерным, но несколько зубов могут показаться длиннее, а в их основе появится дефект формы в виде капли или клина. Но по мере развития этого отклонения могут появляться еще и следующие симптомы:
- воспаление, краснота и отек десен;
- щели между корнями зубов;
- чувствительность этой зоны - боль от холодного, горячего, острого или кислого.
Чем опасна рецессия?
Если закрыть глаза на эту проблему, то в дальнейшем будет сложно пережевывать даже мягкую пищу, ведь слой эмали на шейке зуба тоньше, а значит, и чувствительность выше. Туда же с удовольствием направятся и бактерии - кариес на такой интимной зоне зуба никто не отменял. Если рецессию не лечить, то чувствительность к раздражителям, кариесам, воспалению зубных нервов станут постоянными спутниками твоей жизни, а линия зубов с обнаженными корнями будет делать тебя визуально старше своего возраста.
Лечение рецессий десен
Сама по себе рецессия вылечиться не может, разгадать загадку ее возникновения и назначить лечение рецессии десен может только стоматолог. Современные методы диагностики во Львове ищи в космической стоматологии Драганчука. Наше недоступное простым земным существам оборудование позволит восстановить убыль ткани десен со скоростью света.
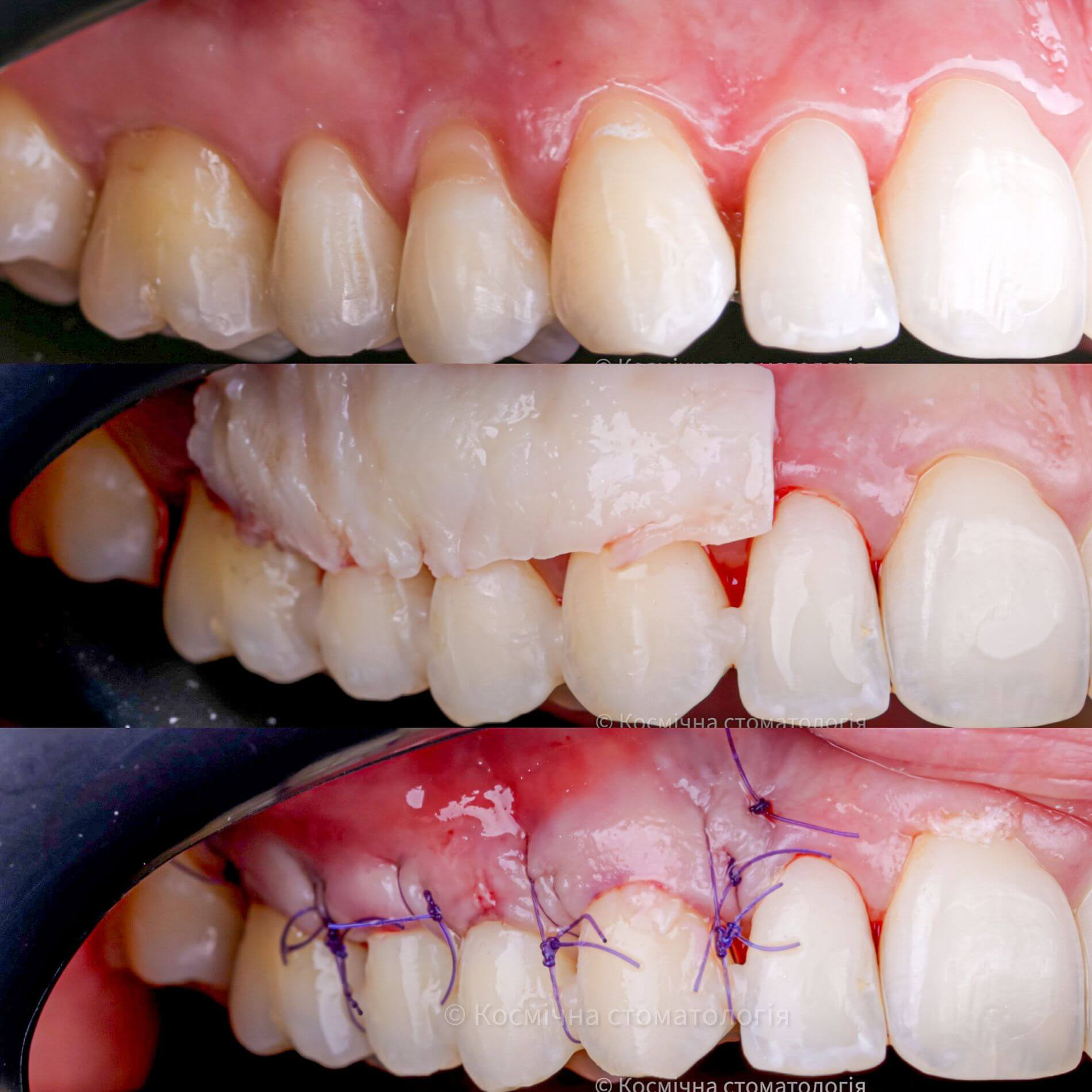
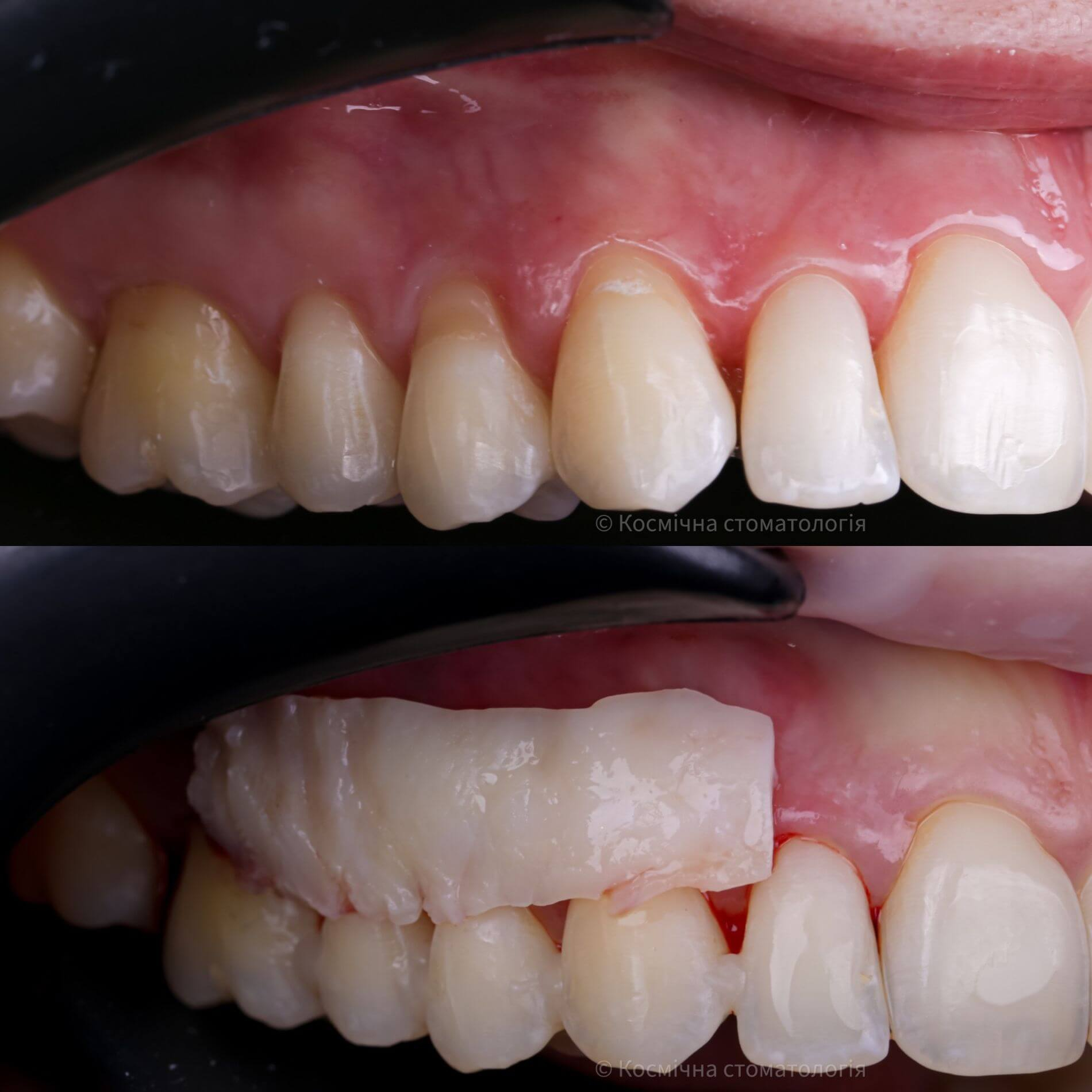
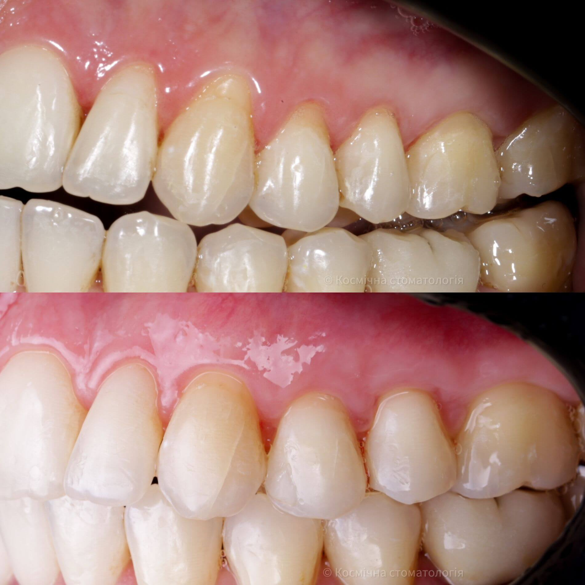
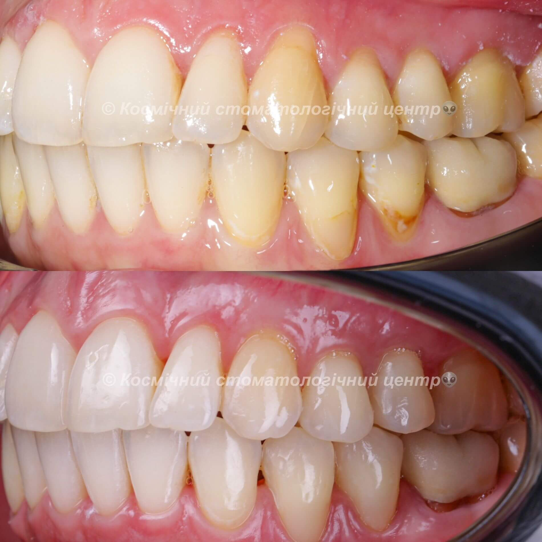
Галерея
Почему происходит снижение края десны
Что бы ни было причиной опущения десен - твоя слишком упорная чистка зубов или наследственность, чтобы привести улыбку в норму, мы можем выполнить маленькую пластическую операцию, пластику десен, которая способна изменить их форму и размер. Это не научная фантастика, а обычная услуга в Космической стоматологии Драганчука. Пристегните ремни, к заданию приступает лучший пародонтолог!
Пластика верхних десен на резцах
Очень хочется смеяться на все 32, но пугаешься при взгляде на фото своей “лошадиной улыбки”? Широкая полоса десен над верхними резцами создает этот неприятный эстетический эффект, но скоро ты его избавишься.
Рекомендации до и после пластики
До пластики не пей алкоголь, не перегружай желудок, а лучше, легко перекуси за несколько часов до операции. Посети туалет, ведь космическое приключение затянется на 2-3 часа.
После операции тебя ждет отличная диета - отказ от алкоголя, курение, отказ от кислой, соленой, острой, жесткой и холодной пищи, а также ограничение физических нагрузок, полоскание специальными препаратами, чистка только здоровых зубов, обходя участок пластики.
Звучит серьезно, но заживление займет всего 7-14 дней.
От чего зависит цена лечения
Если ты знаешь, что тебе необходима рецессия десен, лечение во Львове, в нашей космической клинике, это отличная возможность исправить недостаток, стать нашим любимым пациентом и забыть о том, что уход за зубами когда-то был проблемой. Каждый случай рецессии на планете Земля индивидуален, как и цена лечения. Пародонтолог исследует толщину, упругость и объем ткани, чтобы пересадить фрагмент твоих собственных десен в зону, где произошла рецессия, или использует синтетические заменители для восстановления гармонии линии улыбки.
Поскольку это самая настоящая операция, то возможны осложнения, но они совсем незначительные, и необязательно у тебя появятся:

- небольшая подвижность резцов (эту проблему решить просто, стоматолог установит фиксатор);
- повышение чувствительности зубов и десен;
- умеренный отек, который впоследствии пройдет;
- тупая боль, снимаемая обезболивающим.
Чтобы избежать серьезных проблем с деснами, не забывай телефон Космической стоматологии Драганчука +38 097 082 00 00 или тыкай в онлайн запись на сайте - когда ты не заходишь полгода, в нашей галактике угасает одна звезда!
Где проводят качественное лечение рецессии десен во Львове?
Именно в космической стоматологии Драганчука. Благодаря современным методам диагностики, мы обнаружим и устраним причину рецессии десен, и проведем небольшую пластическую операцию для ее устранения.
Почему следует выбрать именно Космическую стоматологию Драганчука?
Мы предлагаем вам всю стоматологию в одной клинике. У нас вы получите квалифицированную стоматологическую помощь: лечение и пломбирование зубов и корневых каналов, услуги по протезированию, имплантации и стоматологической хирургии. Космическая стоматология Драганчука, это опытные специалисты, которые учились и стажировались в Берлине, Париже, Вильнюсе и Будапеште, самые современные и инновационные материалы и оборудование.
Чем особенно лечение рецессии десен именно у нас?
Что бы ни было причиной опущения десен – твоя слишком упорная чистка зубов или наследственность, чтобы привести улыбку в норму, мы можем выполнить маленькую пластическую операцию, пластику десен, которая способна изменить их форму и размер. Это не научная фантастика, а обычная услуга в Космической стоматологии Драганчука. Так что не медли и обращайся к нам прямо сейчас.
Де проводять якісне лікування зубів у Львові?
Саме у Космічній стоматології Драганчука. Багато наших пацієнтів, встигли побувати у двох, а то й в п’яти стоматологічних клініках, але мали лише негативний досвід. З космічною стоматологією Драганчука, страхи можна залишити в минулому, адже наша приватна стоматологія у Львові - це космічний рівень технологій, якості та сервісу!
Чому варто обрати саме Космічну стоматологію Драганчука?
Ми пропонуємо тобі усю стоматологію в одній клініці. У нас ти отримаєш кваліфіковану стоматологічну допомогу: лікування і пломбування зубів та кореневих каналів, послуги з протезування, імплантації та стоматологічної хірургії. Космічна стоматологія Драганчука, це досвідчені фахівці, які навчались та стажувались в Берліні, Парижі, Вільнюсі та Будапешті, найсучасніші та найінноваційніші матеріали та обладнання.
Чим особливе лікування зубів саме у нас?
Лікування зубів у Космічній стоматології Драганчука передбачає використання інноваційних фотополімерних матеріалів з наночастинками. Ці матеріали дозволяють проводити лікування зубів малоінвазивно, точно, надійно і довговічно. Пломба ідеально пасує по кольору, формі та міцності.