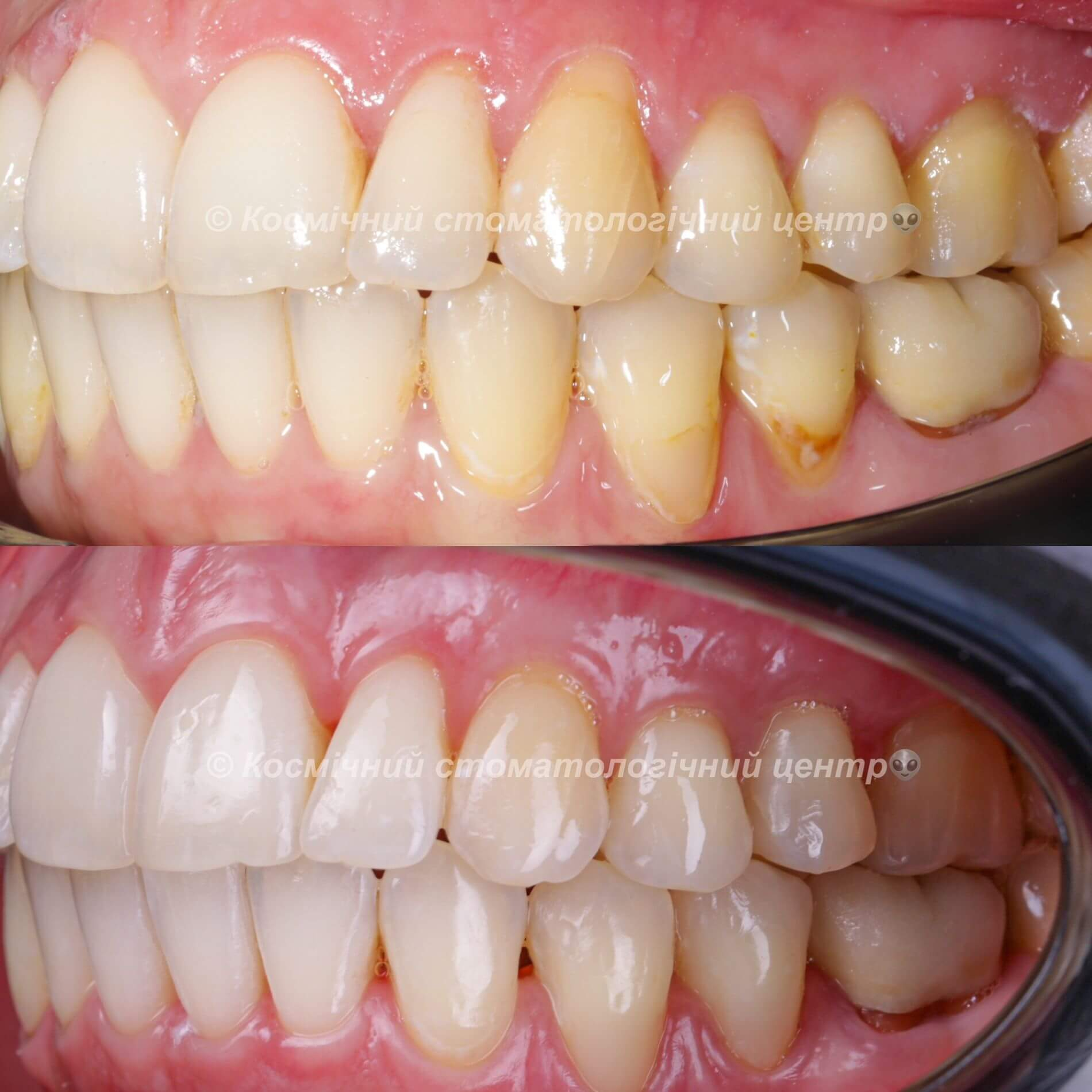
Рецесія ясен
Рецесія? Спорим, ти зараз почнеш гуглити, що це за хвороба? А може, вже чув це слово від стоматолога і випустив з голови, адже ти занадто молодий для цього? Простими словами – рецесія ясен – це не хвороба, а зменшення обсягу ясен. Твоя посмішка змінилася, ти став бачити шийку зуба, а може, край коронки став виділятися, а колись вона сиділа, мов рідна. Будь-хто, помітивши цей нібито косметичний дефект, почне хвилюватися.
Причин цього явища небагато:

- Травматична: неправильно встановлена коронка або пломба можуть натирати і ясна починають атрофуватися у цьому місці. Або рецесія може бути викликана травмою, впливом поганих навичок, неякісно проведеним відбілюванням зубів або агресивним чищенням щіткою. На жаль, неправильно підібрані вініри часто призводять до рецесії ясен. Навіть неправильний прикус може поступово спричинити рецесію;
- Симптоматична: може бути спричинена захворюваннями ясен (пародонтитом);
- Фізіологічна: не переймайся, друже, але це вік.
Симптоми рецесій ясен
Навіть на початковій стадії рецесію легко виявити. Прямо зараз підійди до дзеркала і посміхнися так щиро, щоб було видно ясна. Зубний ряд має бути рівномірним, але кілька зубів можуть здатися довшими, а в їх основі з'явиться дефект форми у вигляді краплі або клину. Але з розвитком цього відхилення можуть з'являтися ще й такі симптоми:
- запалення, почервоніння та набряк ясен;
- щілини між корінням зубів;
- чутливість цієї зони - біль від холодного, гарячого, гострого чи кислого.
Чим небезпечна рецесія?
Якщо заплющити очі на цю проблему, то надалі буде складно пережовувати навіть м'яку їжу, адже шар емалі на шийці зуба тонший, а отже, і чутливість вища. Туди ж із задоволенням попрямують і бактерії – карієс на такій інтимній зоні зуба ніхто не скасовував. Якщо рецесію не лікувати, то чутливість до подразників, карієсів, запалення зубних нервів стануть постійними супутниками твого життя, а лінія зубів з оголеним корінням буде робити тебе візуально старшою за свій вік.
Лікування рецесій ясен
Сама по собі рецесія вилікуватися не може, розгадати загадку її виникнення та призначити лікування рецесії ясен може лише стоматолог. Сучасні методи діагностики у Львові шукай у космічній стоматології Драганчука. Наше недоступне простим земним істотам обладнання дозволить відновити спад тканини ясен зі швидкістю світла.
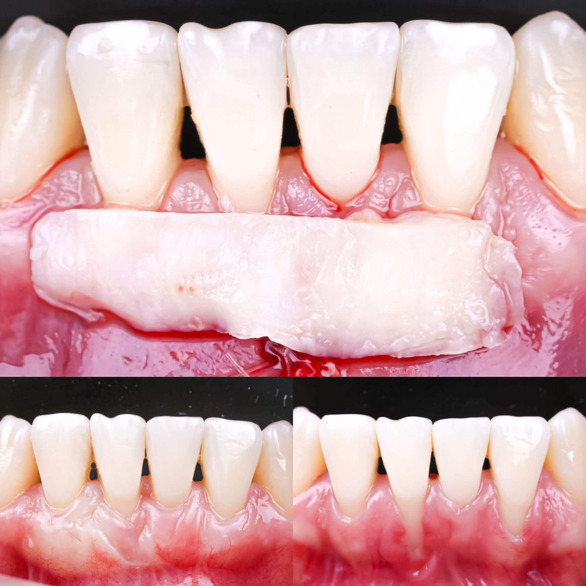
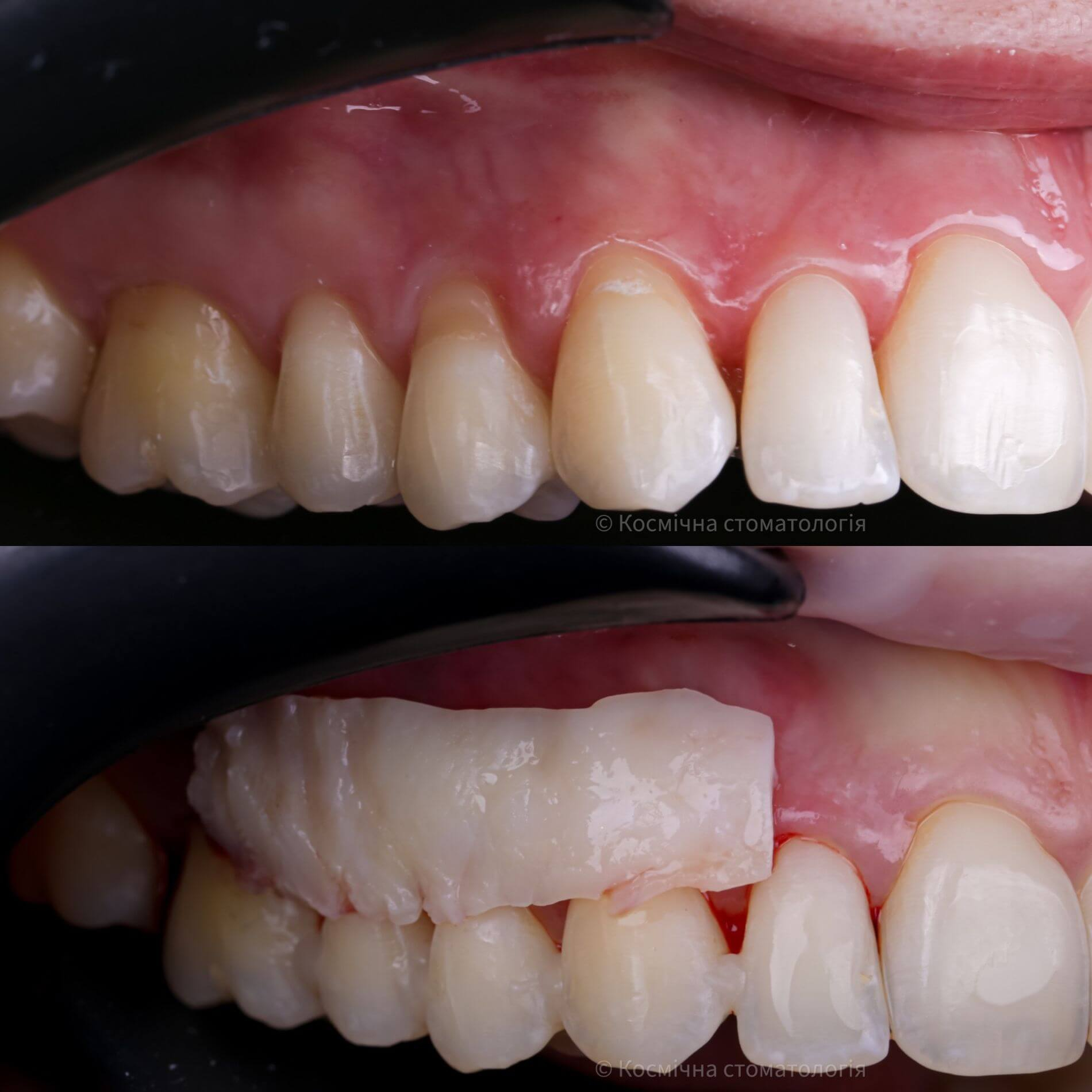
Чому відбувається зниження краю ясен
Що б не було причиною опущення ясен - твоє надто завзяте чищення зубів або спадковість, щоб привести посмішку в норму, ми можемо виконати маленьку пластичну операцію, пластику ясен, яка здатна змінити їх форму і розмір. Це не наукова фантастика, а звичайна послуга у Космічній стоматології Драганчука. Пристебніть ремені, до завдання приступає найкращий пародонтолог!
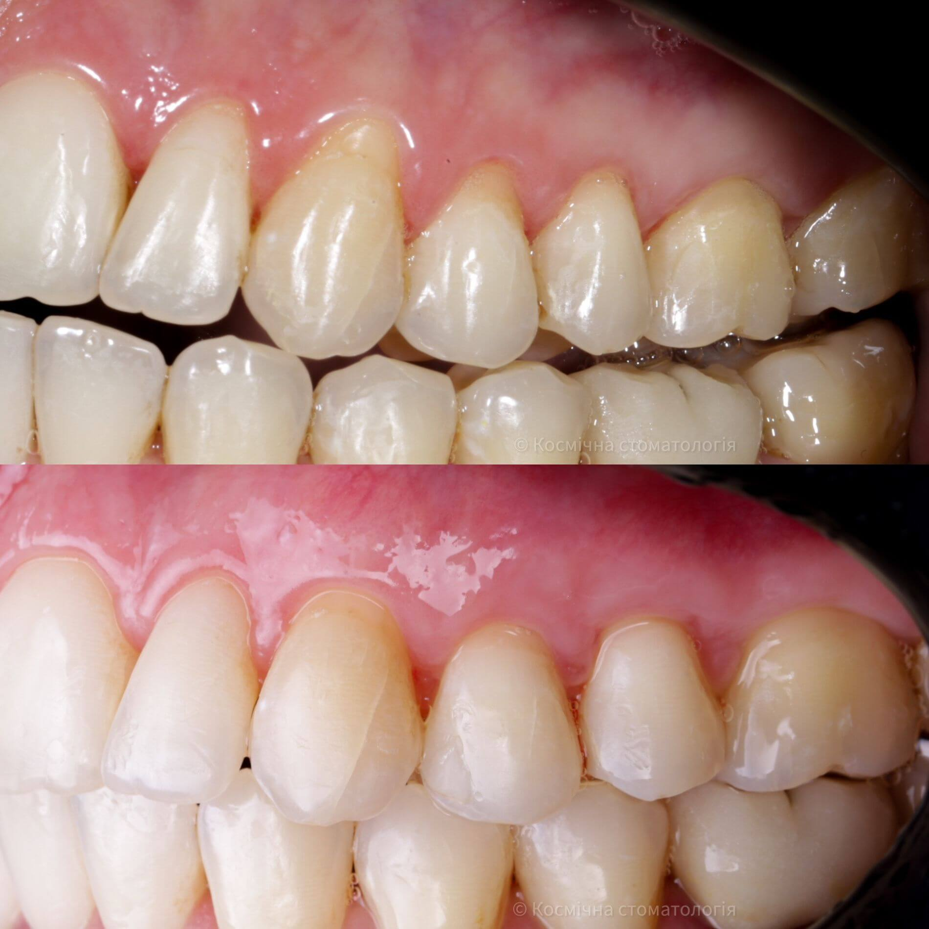
Пластика верхніх ясен на різцях
Дуже хочеться сміятися на всі 32, але лякаєшся при погляді на фото своєї кінської посмішки? Широка смуга ясен над верхніми різцями створює цей неприємний естетичний ефект, але скоро ти його позбудешся.
Рекомендації до та після пластики
До пластики не пий алкоголь, не перевантажуй шлунок, а краще легко перекуси за кілька годин до операції. Відвідай туалет, адже космічна пригода затягнеться на 2-3 години.
Після операції на тебе чекає відмінна дієта - відмова від алкоголю, куріння, відмова від кислої, солоної, гострої, жорсткої та холодної їжі, а також обмеження фізичних навантажень, полоскання спеціальними препаратами, чистка тільки здорових зубів, обминаючи ділянку пластики.
Звучить серйозно, але загоєння займе лише 7-14 днів.
Від чого залежить ціна лікування
Якщо ти знаєш, що тобі потрібна рецесія ясен, лікування у Львові, у нашій космічній клініці, це чудова можливість виправити недолік, стати нашим улюбленим пацієнтом і забути про те, що догляд за зубами колись був проблемою. Кожен випадок рецесії планети Земля індивідуальний, як ціна лікування. Пародонтолог досліджує товщину, пружність та об'єм тканини, щоб пересадити фрагмент твоїх власних ясен у зону, де відбулася рецесія, або використовує синтетичні замінники для відновлення гармонії лінії посмішки.
Оскільки це справжнісінька операція, то можливі ускладнення, але вони зовсім незначні, і необов'язково в тебе з'являться:

- невелика рухливість різців (цю проблему вирішити просто, стоматолог встановить фіксатор);
- підвищення чутливості зубів та ясен;
- помірний набряк, який згодом пройде;
- тупий біль, що знімається знеболюючим.
Щоб уникнути серйозних проблем з яснами, не забувай телефон Космічної стоматології Драганчука +38 097 082 00 00 або тикай в онлайн запис на сайті - коли ти не заходиш півроку, в нашій галактиці згасає одна зірка!
Де проводять якісне лікування рецесії ясен у Львові?
Саме у космічній стоматології Драганчука. Завдяки сучасним методам діагностики, ми виявимо та усунемо причину рецесії ясен, і проведемо невелику пластичну операцію для її усунення..
Чому слід обрати саме Космічну стоматологію Драганчука?
Ми пропонуємо всю стоматологію в одній клініці. У нас ви отримаєте кваліфіковану стоматологічну допомогу: лікування та пломбування зубів та кореневих каналів, послуги з протезування, імплантації та стоматологічної хірургії. Космічна стоматологія Драганчука, це досвідчені фахівці, які навчалися та стажувалися у Берліні, Парижі, Вільнюсі та Будапешті, найсучасніші та інноваційні матеріали та обладнання.
Чим особливо лікування рецесії ясен саме у нас?
Що б не було причиною опущення ясен – твоє занадто завзяте чищення зубів або спадковість, щоб привести усмішку в норму, ми можемо виконати маленьку пластичну операцію, пластику ясен, яка здатна змінити їх форму і розмір. Це не наукова фантастика, а звичайна послуга у Космічній стоматології Драганчука. Так що не зволікай і звертайся до нас прямо зараз.
Галерея
Чому відбувається зниження краю ясен
Що б не було причиною опущення ясен - твоє надто завзяте чищення зубів або спадковість, щоб привести посмішку в норму, ми можемо виконати маленьку пластичну операцію, пластику ясен, яка здатна змінити їх форму і розмір. Це не наукова фантастика, а звичайна послуга у Космічній стоматології Драганчука. Пристебніть ремені, до завдання приступає найкращий пародонтолог!
Пластика верхніх ясен на різцях
Дуже хочеться сміятися на всі 32, але лякаєшся при погляді на фото своєї кінської посмішки? Широка смуга ясен над верхніми різцями створює цей неприємний естетичний ефект, але скоро ти його позбудешся.
Рекомендації до та після пластики
До пластики не пий алкоголь, не перевантажуй шлунок, а краще легко перекуси за кілька годин до операції. Відвідай туалет, адже космічна пригода затягнеться на 2-3 години.
Після операції на тебе чекає відмінна дієта - відмова від алкоголю, куріння, відмова від кислої, солоної, гострої, жорсткої та холодної їжі, а також обмеження фізичних навантажень, полоскання спеціальними препаратами, чистка тільки здорових зубів, обминаючи ділянку пластики.
Звучить серйозно, але загоєння займе лише 7-14 днів.
Від чого залежить ціна лікування
Якщо ти знаєш, що тобі потрібна рецесія ясен, лікування у Львові, у нашій космічній клініці, це чудова можливість виправити недолік, стати нашим улюбленим пацієнтом і забути про те, що догляд за зубами колись був проблемою. Кожен випадок рецесії планети Земля індивідуальний, як ціна лікування. Пародонтолог досліджує товщину, пружність та об'єм тканини, щоб пересадити фрагмент твоїх власних ясен у зону, де відбулася рецесія, або використовує синтетичні замінники для відновлення гармонії лінії посмішки.
Оскільки це справжнісінька операція, то можливі ускладнення, але вони зовсім незначні, і необов'язково в тебе з'являться:

- невелика рухливість різців (цю проблему вирішити просто, стоматолог встановить фіксатор);
- підвищення чутливості зубів та ясен;
- помірний набряк, який згодом пройде;
- тупий біль, що знімається знеболюючим.
Щоб уникнути серйозних проблем з яснами, не забувай телефон Космічної стоматології Драганчука +38 097 082 00 00 або тикай в онлайн запис на сайті - коли ти не заходиш півроку, в нашій галактиці згасає одна зірка!
Де проводять якісне лікування рецесії ясен у Львові?
Саме у космічній стоматології Драганчука. Завдяки сучасним методам діагностики, ми виявимо та усунемо причину рецесії ясен, і проведемо невелику пластичну операцію для її усунення..
Чому слід обрати саме Космічну стоматологію Драганчука?
Ми пропонуємо всю стоматологію в одній клініці. У нас ви отримаєте кваліфіковану стоматологічну допомогу: лікування та пломбування зубів та кореневих каналів, послуги з протезування, імплантації та стоматологічної хірургії. Космічна стоматологія Драганчука, це досвідчені фахівці, які навчалися та стажувалися у Берліні, Парижі, Вільнюсі та Будапешті, найсучасніші та інноваційні матеріали та обладнання.
Чим особливо лікування рецесії ясен саме у нас?
Що б не було причиною опущення ясен – твоє занадто завзяте чищення зубів або спадковість, щоб привести усмішку в норму, ми можемо виконати маленьку пластичну операцію, пластику ясен, яка здатна змінити їх форму і розмір. Це не наукова фантастика, а звичайна послуга у Космічній стоматології Драганчука. Так що не зволікай і звертайся до нас прямо зараз.