Виниры на зубы во Львове

Мечтаешь о красивых ровных зубах, однако не готов несколько лет носить брекеты или элайнеры? Надоело постоянно менять пломбы или хочешь восстановить поврежденные зубы и вернуть себе естественную улыбку? У нас есть решение! Давай поставим тебе виниры, разновидность эстетических коронок, восстанавливающих цвет и форму зуба.

Что такое виниры?

Виниры - это тонкие накладки на зубы, изготавливаемые из специальных биосовместимых материалов. Они производятся индивидуально для каждого пациента, чтобы максимально точно воспроизвести форму и цвет зубов. Толщина винира - от 0,2 до 1 мм, они совершенно незаметны и выглядят максимально естественно.

Материал, из которого изготовляются виниры, не только выглядит натурально, но и устойчив к воздействию красящих продуктов, тебе не придется отказываться от любимого чая, кофе, алкогольных напитков.

Когда нужны виниры

Тебе подойдут виниры, если ты недоволен внешним видом и состоянием своих зубов, и хочешь скорейшего результата

  • На поверхности твоих зубов есть трещины и сколы;
  • У тебя искривление зубов;
  • Имеешь пигментные пятна на зубах, не устраняемых чисткой или отбеливанием;
  • У тебя выразительные промежутки (щели) в зубном ряду;
  • Стерость зубов;

Если ты уже изучал предложения и планируешь установить керамические виниры во Львове, то цены тебе точно знакомы. А еще ты уж точно знаешь, что выбирать клинику нужно не по дешевизне. Так как зубы, то не волосы, и со временем не отрастают.

Когда не ставят виниры

Не забывай, что и для установки виниров есть свои противопоказания. Поэтому если у тебя есть одна из таких проблем, мы предложим тебе другие способы получения идеальной улыбки:

  1. Стирание зубов из-за бруксизма (скрежетания);
  2. Неправильный прикус;
  3. Чрезмерно тонкие зубы;
  4. Поражение зубной эмали, составляющее более 60%;

Виды виниров: их преимущества и недостатки

Мы в Космической стоматологии Драганчука очень долго подбирали для тебя материалы изготовления виниров, советовались с нашими инопланетными консультантами, собирали лучшие внеземные знания и технологии. Поэтому можешь быть уверен - ты получишь наилучший результат.

Чтобы усовершенствовать твою улыбку, мы поставим тебе керамические виниры. Их плюсы:

  • Это сверхтонкие пластины из керамики, их тощина составляет - от 0,2 мм и не превышает 0,5 мм, а это значит, что обтачивать зубы нужно будет минимально;
  • Керамические виниры крепкие и надежные, прослужат тебе не менее 20 лет;
  • Керамика пластична и очень устойчива к окрашивающим продуктам;

Конечно, есть и несколько недостатков:

  • Зубы придется обтачивать;
  • Форма, цвет или размер могут оказаться не совсем такими, как ты ожидал и тебя это может огорчить. Только не в Космической стоматологии! Мы сделаем цифровой дизайн твоей улыбки и у тебя будет два макета временных виниров, чтобы постоянные виниры выглядели идеально;

Узнать стоимость виниров во Львове ты можешь на нашем сайте и записаться тоже можешь онлайн, мы знаем как ты не любишь телефонных разговоров.

Этапы и длительность процедуры

Тебя наверняка интересуют сроки установки виниров. Отвечаем: от 10 дней, если нужно «поправить» всего несколько зубов до нескольких месяцев, если будем совершенствовать все зубы. Установка керамических накладок проходит в несколько этапов:

  • Обточка и шлифовка зубов под обезболиванием;
  • Сканирование интраоральным сканером Sirona;
  • Фиксация виниров на твои зубы;
  • Композитные виниры во Львове тоже можно отыскать, но камон, зачем, если в Космической стоматологии Драганчука мы готовы создать тебе идеальную улыбку.

Процедура установки виниров во Львове

Перед установкой виниров, обязательно проведем тебе санацию полости рта (лечение стоматологических заболеваний) и, при наличии показаний, сделаем профессиональную гигиену.

Врач совместно с тобой подберет оптимальные цвет и форму, сделает снимок зубов и начнет подготовительный процесс по шлифовке и обточке зубов.

Знаем, идея обтачивать зубы тебе не нравится, по секрету - она никому не нравится. Но это необходимая мера для лучшего сцепления накладки с зубом, поэтому полностью этого процесса избежать не удастся. Однако, благодаря обезболиванию и инновационным материалам, мы сделали этот процесс максимально безболезненным.

Как ставят виниры

Финальный этап установки виниров - фиксация накладки непосредственно на зуб. Этот процесс под тщательным визуальным контролем с помощью микроскопа. Виниры мы установим на специальный клеевой состав, который является гипоаллергенным и абсолютно безопасным для человека.

Продолжительность процедуры зависит от количества устанавливаемых виниров.

Если ты решил установить виниры во Львове, цены и качество выполнения процедуры установки в Космической стоматологии Драганчука, тебя приятно удивят.

Стоимость услуг

Установление виниров - достаточно сложная медицинская процедура, требующая особой профессионализмы от всех участников процесса, на всех этапах проведения. Благодаря нашим внеземным помощникам и их знаниям, в Космической стоматологии Драганчука довели проведение этой процедуры до совершенства, а качество и сервис - до абсолюта.

Давай откровенно, у нас не самые дешевые цены на виниры во Львове, но и не самые дорогие. Если ты хочешь сэкономить на улыбке своей мечты, мы можем предложить тебе композитные виниры.


Где поставить качественные виниры во Львове?

Мы очень долго подбирали для тебя материалы изготовления виниров, советовались с нашими инопланетными консультантами, собирали лучшие внеземные знания и технологии. Поэтому можешь быть уверен – ты получишь наилучший результат.

Почему следует выбрать именно Космическую стоматологию Драганчука?

Мы предлагаем тебе всю стоматологию в одной клинике. У нас вы получите квалифицированную стоматологическую помощь: лечение и пломбирование зубов и корневых каналов, услуги по протезированию, имплантации и стоматологической хирургии. Космическая стоматология Драганчука, это опытные специалисты, которые учились и стажировались в Берлине, Париже, Вильнюсе и Будапеште, самые современные и инновационные материалы и оборудование.

Чем особенна установка виниров именно у нас?

Мы в Космической стоматологии Драганчука очень долго подбирали тебе материалы изготовления виниров, советовались с нашими инопланетными консультантами, собирали лучшие внеземные знания и технологии. Поэтому можешь быть уверен – ты получишь наилучший результат.

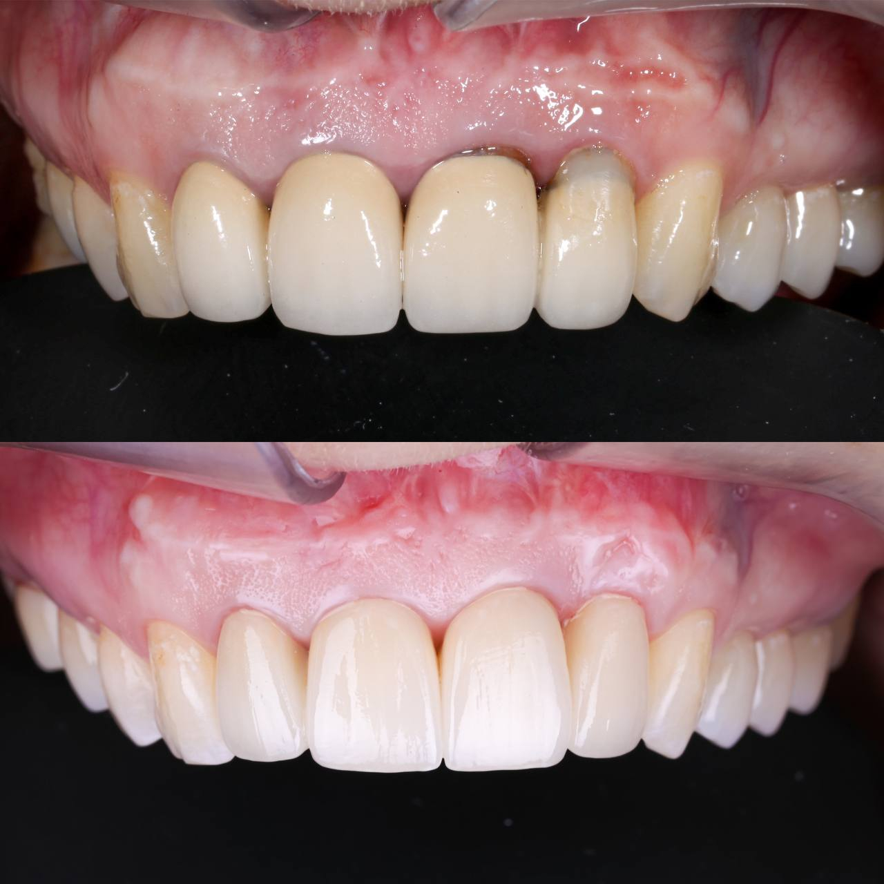
Галерея

ufo

Встановити контакт

Наші адміністратори дадуть відповідь на будь-яке Ваше запитання щодо послуги

Записатись самостійно

через Земні месенджери:

Стоимость услуг
Циркониевая коронка 14 770 грн.
Керамическая коронка 17 310 грн.
Керамический винир космический 37 500 грн.
Керамический винир земной 19 550 грн.
Специалисты
Александр Драганчук
Александр Драганчук

Капитан хирург ортопед

Страница врача
Записаться
КОСМІЧНІ СЕРТИФІКАТИ
Позаземні переваги
Уникальный космический интерьер с возможностью почувствовать себя на звездолете
Уникальный космический интерьер с возможностью почувствовать себя на звездолете
Индивидуальные параметры температуры и влажности в каждом кабинете
Индивидуальные параметры температуры и влажности в каждом кабинете
Узкоспециализированные врачи для осуществления комплексного плана лечения
Узкоспециализированные врачи для осуществления комплексного плана лечения
Немецкое Стоматологическое оборудование класса Мерседес
Немецкое Стоматологическое оборудование класса Мерседес
Персонализированное мобильное приложение для клиентов
Персонализированное мобильное приложение для клиентов
Голосовые ассистенты
Голосовые ассистенты

Этапы и длительность процедуры

Тебя наверняка интересуют сроки установки виниров. Отвечаем: от 10 дней, если нужно «поправить» всего несколько зубов до нескольких месяцев, если будем совершенствовать все зубы. Установка керамических накладок проходит в несколько этапов:

  • Обточка и шлифовка зубов под обезболиванием;
  • Сканирование интраоральным сканером Sirona;
  • Фиксация виниров на твои зубы;
  • Композитные виниры во Львове тоже можно отыскать, но камон, зачем, если в Космической стоматологии Драганчука мы готовы создать тебе идеальную улыбку.

Процедура установки виниров во Львове

Перед установкой виниров, обязательно проведем тебе санацию полости рта (лечение стоматологических заболеваний) и, при наличии показаний, сделаем профессиональную гигиену.

Врач совместно с тобой подберет оптимальные цвет и форму, сделает снимок зубов и начнет подготовительный процесс по шлифовке и обточке зубов.

Знаем, идея обтачивать зубы тебе не нравится, по секрету - она никому не нравится. Но это необходимая мера для лучшего сцепления накладки с зубом, поэтому полностью этого процесса избежать не удастся. Однако, благодаря обезболиванию и инновационным материалам, мы сделали этот процесс максимально безболезненным.

Как ставят виниры

Финальный этап установки виниров - фиксация накладки непосредственно на зуб. Этот процесс под тщательным визуальным контролем с помощью микроскопа. Виниры мы установим на специальный клеевой состав, который является гипоаллергенным и абсолютно безопасным для человека.

Продолжительность процедуры зависит от количества устанавливаемых виниров.

Если ты решил установить виниры во Львове, цены и качество выполнения процедуры установки в Космической стоматологии Драганчука, тебя приятно удивят.

Стоимость услуг

Установление виниров - достаточно сложная медицинская процедура, требующая особой профессионализмы от всех участников процесса, на всех этапах проведения. Благодаря нашим внеземным помощникам и их знаниям, в Космической стоматологии Драганчука довели проведение этой процедуры до совершенства, а качество и сервис - до абсолюта.

Давай откровенно, у нас не самые дешевые цены на виниры во Львове, но и не самые дорогие. Если ты хочешь сэкономить на улыбке своей мечты, мы можем предложить тебе композитные виниры.


Где поставить качественные виниры во Львове?

Мы очень долго подбирали для тебя материалы изготовления виниров, советовались с нашими инопланетными консультантами, собирали лучшие внеземные знания и технологии. Поэтому можешь быть уверен – ты получишь наилучший результат.

Почему следует выбрать именно Космическую стоматологию Драганчука?

Мы предлагаем тебе всю стоматологию в одной клинике. У нас вы получите квалифицированную стоматологическую помощь: лечение и пломбирование зубов и корневых каналов, услуги по протезированию, имплантации и стоматологической хирургии. Космическая стоматология Драганчука, это опытные специалисты, которые учились и стажировались в Берлине, Париже, Вильнюсе и Будапеште, самые современные и инновационные материалы и оборудование.

Чем особенна установка виниров именно у нас?

Мы в Космической стоматологии Драганчука очень долго подбирали тебе материалы изготовления виниров, советовались с нашими инопланетными консультантами, собирали лучшие внеземные знания и технологии. Поэтому можешь быть уверен – ты получишь наилучший результат.

ВІДГУКИ ЗЕМЛЯН
Ірина Веремій
Переїхали з родиною до Львова не так давно, тож ще не обзавелись корисними контактами. Але на щастя з стоматологами пощастило одразу. Полікували, зуби всім домашнім, тепер збираюсь встановити собі вініри. Дякую космічній стоматології Драганчука, ви чудові.
Олексій
Довго шукав, де поставити вініри, і в кожній клініці щось було не так. То якісь платежі додаткові, то у валюті. Але дякую Олександру Драганчуку та його клініці, в мене буде нова посмішка та ще й з чесним та прозорим кошторисом, що для мене особливо важливо.
Мія Р.
Вражена сервісом космічної стоматології Драганчука. Ціни на вініри в гривні та ще й одразу під ключ, без жодних прихованих та додатково нав’язаних послуг. Ще й портфоліо вражаюче, все виглядає дуже гарно і природньо. Вже розпочала підготовку до посмішки своєї мрії.
Залишились питання?
Космический стоматологический центр

планета Земля, Украина 79026,
г. Львов, ул. Бойковская 1

+38 097 082 0000

draganchuk.com.ua@gmail.com

Понедельник - Воскресенье
08:30 - 20:30

СРЕДА 20.05.2026 ВЫХОДНОЙ
Настоящая онлайн запись

Записаться самостоятельно в нашу космическую стоматологию на удобный земной день и час

Записаться самостоятельно

через Земные мессенджеры:

Spock Star Trek Вітаємо! Ваш сигнал вже прямує в наш центр