Вініри на зуби у Львові

Мрієш про красиві рівні зуби, однак не готовий кілька років носити брекети чи елайнери? Набридло постійно міняти пломби чи хочеш відновити пошкоджені зуби та повернути собі природну посмішку? В нас є рішення! Давай поставимо тобі вініри, різновид естетичних коронок, що відновлюють колір та форму зуба.

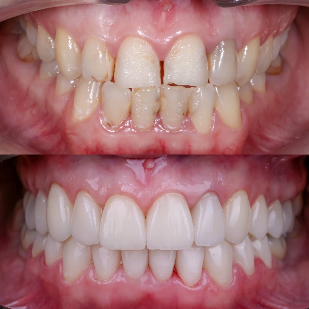
Що таке вініри?

Вініри - це тонкі накладки зуби, що виготовляються із спеціальних біосумісних матеріалів. Вони виготовляються індивідуально для кожного пацієнта, щоб максимально точно відтворити форму та колір зубів. Товщина вініра - від 0,2 до 1 мм, вони цілком непомітні та виглядають максимально природно.

Матеріал, з якого виготовляються вініри, не лише виглядає натурально, але й стійкий до дії фарбуючих продуктів, тобі не доведеться відмовлятись від улюблених чаю, кави, алкогольних напоїв.

Коли потрібні вініри

Тобі підійдуть вініри, якщо ти незадоволений зовнішнім виглядом і станом своїх зубів, і хочеш швидкого результату

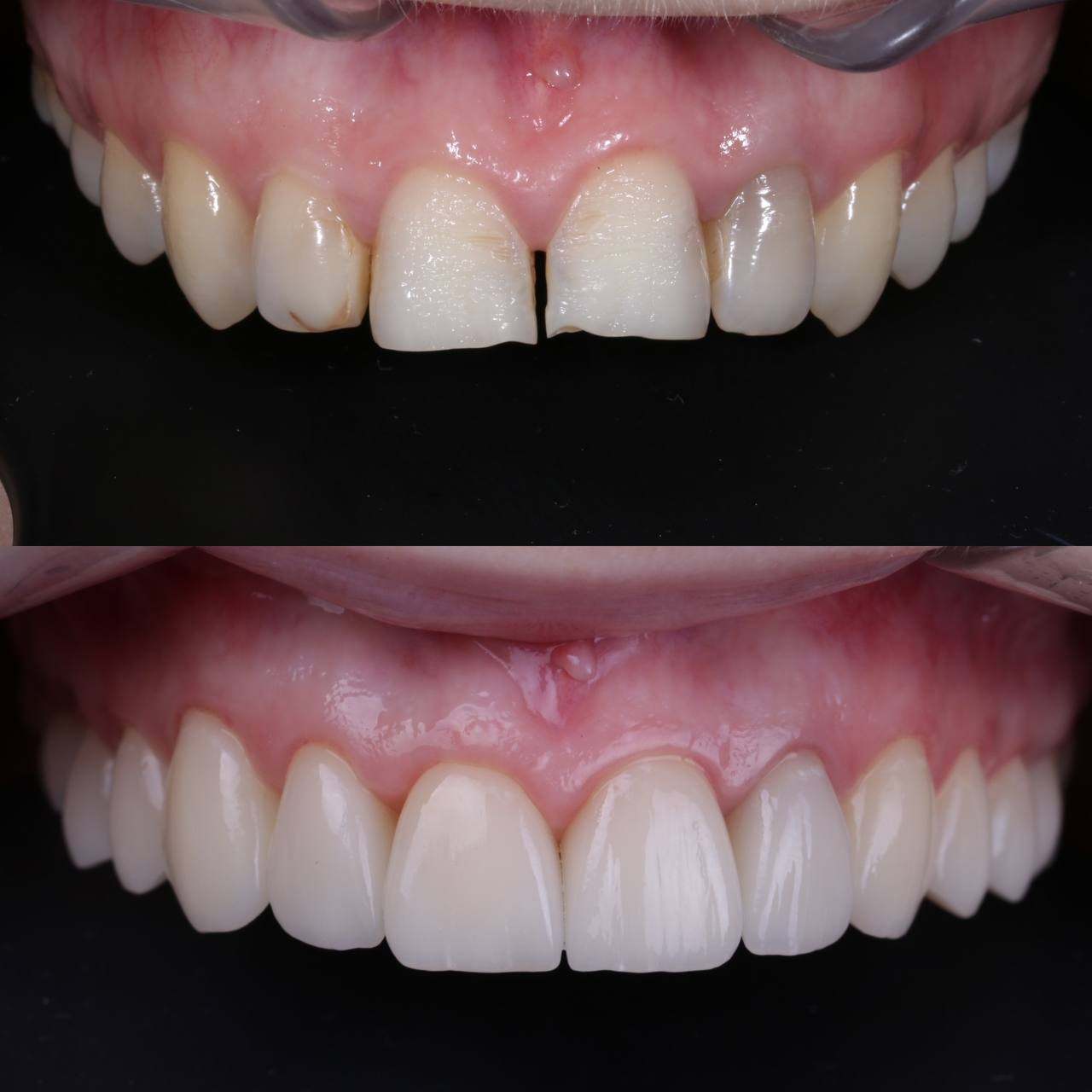
  • На поверхні твоїх зубів є тріщини та сколи;
  • В тебе викривлення зубів;
  • Маєш пігментні плями на зубах, що не усуваються чисткою чи відбілюванням;
  • В тебе виразні проміжки(щілини) в зубному ряду;
  • Стертість зубів;

Якщо ти вже вивчав пропозиції та плануєш встановити керамічні вініри, ціни у Львові тобі точно знайомі. А ще ти вже точно знаєш, що вибирати клініку треба не за дешевизною. Бо зуби, то таки не волосся, і з часом не відростають.

Коли не ставлять вініри

Не забувай, що й до встановлення вінірів є свої протипокази. Тому якщо в тебе є одна з таких проблем, ми запропонуємо тобі інші способи отримання ідеальної посмішки:

  • Стирання зубів через бруксизм(скреготання);
  • Неправильний прикус;
  • Надміру тонкі зуби;
  • Ураження зубної емалі, що становить понад 60%;

Види вінірів: їх переваги та недоліки

Ми в Космічній стоматології Драганчука дуже довго підбирали для тебе матеріали виготовлення вінірів, радились з нашими інопланетними консультантами, збирали кращі позаземні знання та технології. Тому можеш бути впевнений - ти отримаєш найкращий результат.

Щоб вдосконалити твою посмішку, ми поставимо тобі керамічні вініри. Їхні плюси:

  • Це надтонкі пластини з кераміки, їх тощина складає - від 0,2 мм й не перевищує 0,5 мм, а це означає, що обточувати зуби потрібно буде мінімально;
  • Керамічні вініри міцні та надійні, прослужать тобі точно не менше 20 років;
  • Кераміка пластична і дуже стійка до фарбуючих продуктів;

Звісно є й трохи недоліків:

  • Зуби таки доведеться обточувати;
  • Форма, колір або розмір можуть виявитися не зовсім такими як ти очікував і тебе це може засмутити. Тільки не у Космічній стоматології! Мы зробимо цифровий дизайн твоєї усмішки і у тебе буде два макети тимчасових вінірів, щоб постійні вініри виглядали ідеально;

Дізнатись докладний прайс на вініри у Львові ти можеш на нашому сайті та й записатись теж можеш онлайн, ми знаємо як ти не любиш телефонних балачок.

Етапи та тривалість процедури

Тебе напевно цікавлять терміни встановлення вінірів. Відповідаємо: від 10 днів, якщо треба «поправити» лише кілька зубів до кількох місяців, якщо будемо вдосконалювати всі зуби. Встановлення керамічних накладок проходить в кілка етапів:

  1. Обточування та шліфування зубів під знеболенням;
  2. Сканування інтраоральним сканером Sirona;
  3. Фіксація вінірів на твої зуби;

Композитні вініри у Львові теж можна відшукати, але камон, навіщо, якщо в Космічній стоматології Драганчука ми готові створити для тебе ідеальну посмішку.

Процедура встановлення вінірів у Львові

Перед встановлення вінірів, обов’язково проведемо тобі санацію ротової порожнини (лікування стоматологічних захворювань) та, за наявності показів, зробимо професійну гігієну.

Лікар спільно з тобою, підбере оптимальні колір та форму, зробить знімок зубів та розпочне підготовчий процес зі шліфування та обточення зубів.

Знаємо, ідея обточувати зуби тобі не подобається, по секрету - вона нікому не подобається. Але це необхідний захід для кращого зчеплення накладки з зубом, тому повністю цього процесу уникнути не вдасться. Однак, завдяки знеболенню та інноваційним матеріалам, ми зробили цей процес максимально безболісним.

Як ставлять вініри

Фінальний етап встановлення вінірів - фіксація накладки безпосередньо на зуб. Цей процес відбувається під ретельним візуальним контролем за допомогою мікроскопа. Вініри ми встановимо на спеціальний клейовий склад, що є гіпоалергенним та абсолютно безпечним для людини.

Тривалість процедури залежить від кількості встановлюваних вінірів.

Якщо ти вирішив встановити вініри на зуби у Львові, ціни та якість виконання процедури встановлення у Космічній стоматології Драганчука, тебе приємно здивують.

Вартість послуг

Встановлення вінірів - досить складна медична процедура, що потребує особливої фаховості від всіх учасників процесу, на усіх етапах проведення. Завдяки нашим позаземним помічникам та їх знанням, ми в Космічній стоматології Драганчука довели проведення цієї процедури до досконалості, а якість та сервіс - до абсолюту.

Давай відверто, в нас не найдешевші ціни на вініри у Львові, але й не найдорожчі. Якщо ти хочеш зекономити на посмішці своєї мрії, то ми можемо запропонувати тобі композитні вініри.


Де поставити якісні вініри у Львові?

Саме у космічній стоматології Драганчука.Ми дуже довго підбирали для тебе матеріали виготовлення вінірів, радились з нашими інопланетними консультантами, збирали кращі позаземні знання та технології. Тому можеш бути впевнений - ти отримаєш найкращий результат.

Чому варто обрати саме Космічну стоматологію Драганчука?

Ми пропонуємо тобі усю стоматологію в одній клініці. У нас ти отримаєш кваліфіковану стоматологічну допомогу: лікування і пломбування зубів та кореневих каналів, послуги з протезування, імплантації та стоматологічної хірургії. Космічна стоматологія Драганчука, це досвідчені фахівці, які навчались та стажувались в Берліні, Парижі, Вільнюсі та Будапешті, найсучасніші та найінноваційніші матеріали та обладнання.

Чим особливе встановлення вінірів саме у нас?

Ми в Космічній стоматології Драганчука дуже довго підбирали для тебе матеріали виготовлення вінірів, радились з нашими інопланетними консультантами, збирали кращі позаземні знання та технології. Тому можеш бути впевнений - ти отримаєш найкращий результат.

Галерея

ufo

Встановити контакт

Наші адміністратори дадуть відповідь на будь-яке Ваше запитання щодо послуги

Записатись самостійно

через Земні месенджери:

Вартість послуг
Цирконієва коронка 14 770 грн.
Керамічна коронка 17 310 грн.
Керамічний вінір космічний 25 780 грн.
Керамічний вінір земний 18 550 грн.
Спеціалісти
Олександр Драганчук
Олександр Драганчук

Капітан хірург ортопед

Сторінка лікаря
Записатись
КОСМІЧНІ СЕРТИФІКАТИ
Позаземні переваги
Унікальний космічний інтерʼєр з можливістю відчути себе на зорельоті
Унікальний космічний інтерʼєр з можливістю відчути себе на зорельоті
Індивідуальні параметри температури та вологості в кожному кабінеті
Індивідуальні параметри температури та вологості в кожному кабінеті
Вузькоспеціалізовані лікарі для здійснення комплексного плану лікування
Вузькоспеціалізовані лікарі для здійснення комплексного плану лікування
Німецьке Стоматологічне обладнання класу Мерседес
Німецьке Стоматологічне обладнання класу Мерседес
Персоналізований мобільний додаток для клієнтів
Персоналізований мобільний додаток для клієнтів
Голосові асистенти
Голосові асистенти

Етапи та тривалість процедури

Тебе напевно цікавлять терміни встановлення вінірів. Відповідаємо: від 10 днів, якщо треба «поправити» лише кілька зубів до кількох місяців, якщо будемо вдосконалювати всі зуби. Встановлення керамічних накладок проходить в кілка етапів:

  1. Обточування та шліфування зубів під знеболенням;
  2. Сканування інтраоральним сканером Sirona;
  3. Фіксація вінірів на твої зуби;

Композитні вініри у Львові теж можна відшукати, але камон, навіщо, якщо в Космічній стоматології Драганчука ми готові створити для тебе ідеальну посмішку.

Процедура встановлення вінірів у Львові

Перед встановлення вінірів, обов’язково проведемо тобі санацію ротової порожнини (лікування стоматологічних захворювань) та, за наявності показів, зробимо професійну гігієну.

Лікар спільно з тобою, підбере оптимальні колір та форму, зробить знімок зубів та розпочне підготовчий процес зі шліфування та обточення зубів.

Знаємо, ідея обточувати зуби тобі не подобається, по секрету - вона нікому не подобається. Але це необхідний захід для кращого зчеплення накладки з зубом, тому повністю цього процесу уникнути не вдасться. Однак, завдяки знеболенню та інноваційним матеріалам, ми зробили цей процес максимально безболісним.

Як ставлять вініри

Фінальний етап встановлення вінірів - фіксація накладки безпосередньо на зуб. Цей процес відбувається під ретельним візуальним контролем за допомогою мікроскопа. Вініри ми встановимо на спеціальний клейовий склад, що є гіпоалергенним та абсолютно безпечним для людини.

Тривалість процедури залежить від кількості встановлюваних вінірів.

Якщо ти вирішив встановити вініри на зуби у Львові, ціни та якість виконання процедури встановлення у Космічній стоматології Драганчука, тебе приємно здивують.

Вартість послуг

Встановлення вінірів - досить складна медична процедура, що потребує особливої фаховості від всіх учасників процесу, на усіх етапах проведення. Завдяки нашим позаземним помічникам та їх знанням, ми в Космічній стоматології Драганчука довели проведення цієї процедури до досконалості, а якість та сервіс - до абсолюту.

Давай відверто, в нас не найдешевші ціни на вініри у Львові, але й не найдорожчі. Якщо ти хочеш зекономити на посмішці своєї мрії, то ми можемо запропонувати тобі композитні вініри.


Де поставити якісні вініри у Львові?

Саме у космічній стоматології Драганчука.Ми дуже довго підбирали для тебе матеріали виготовлення вінірів, радились з нашими інопланетними консультантами, збирали кращі позаземні знання та технології. Тому можеш бути впевнений - ти отримаєш найкращий результат.

Чому варто обрати саме Космічну стоматологію Драганчука?

Ми пропонуємо тобі усю стоматологію в одній клініці. У нас ти отримаєш кваліфіковану стоматологічну допомогу: лікування і пломбування зубів та кореневих каналів, послуги з протезування, імплантації та стоматологічної хірургії. Космічна стоматологія Драганчука, це досвідчені фахівці, які навчались та стажувались в Берліні, Парижі, Вільнюсі та Будапешті, найсучасніші та найінноваційніші матеріали та обладнання.

Чим особливе встановлення вінірів саме у нас?

Ми в Космічній стоматології Драганчука дуже довго підбирали для тебе матеріали виготовлення вінірів, радились з нашими інопланетними консультантами, збирали кращі позаземні знання та технології. Тому можеш бути впевнений - ти отримаєш найкращий результат.

ВІДГУКИ ЗЕМЛЯН
Ірина Веремій
Переїхали з родиною до Львова не так давно, тож ще не обзавелись корисними контактами. Але на щастя з стоматологами пощастило одразу. Полікували, зуби всім домашнім, тепер збираюсь встановити собі вініри. Дякую космічній стоматології Драганчука, ви чудові.
Олексій
Довго шукав, де поставити вініри, і в кожній клініці щось було не так. То якісь платежі додаткові, то у валюті. Але дякую Олександру Драганчуку та його клініці, в мене буде нова посмішка та ще й з чесним та прозорим кошторисом, що для мене особливо важливо.
Мія Р.
Вражена сервісом космічної стоматології Драганчука. Ціни на вініри в гривні та ще й одразу під ключ, без жодних прихованих та додатково нав’язаних послуг. Ще й портфоліо вражаюче, все виглядає дуже гарно і природньо. Вже розпочала підготовку до посмішки своєї мрії.
Залишились питання?
Космічний стоматологічний центр

планета Земля, Україна 79026,
м. Львів, вул. Бойківська 1

+38 097 082 0000

draganchuk.com.ua@gmail.com

Понеділок - Неділя
08:30 - 20:30
 

Справжній онлайн запис

Записатись самостійно у нашу космічну стоматологію на зручний земний день та годину

Записатись самостійно

через Земні месенджери:

Spock Star Trek Вітаємо! Ваш сигнал вже прямує в наш центр