Професійна гігієна зубів

Запитання-відповіді

Зізнайся, ти точно злився на батьків, які в дитинстві змушували тебе чистити зуби. Але тепер ти дорослий, самостійний і на собі перевірив, як важливо доглядати за ротовою порожниною, бо всі ці карієси, гінгівіти, пародонтити мало того що небезпечні, а ще й досить дорогі «задоволення».

Але є одне але, буденного, хоч і дуже ретельного догляду, зазвичай буває недостатньо, і саме тоді на допомогу приходить професійна чистка зубів у Львові в Космічній стоматології Драганчука.

Що таке професійна гігієна (чистка) зубів?

Професійна чистка (гігієна) - це стоматологічна процедура, яка проводиться у кілька етапів та допомагає позбутись м’якого нальоту та твердих відкладень на зубах, які неможливо видалити самостійно, навіть при систематичному домашньому догляді. Ця процедура має не лише косметичний ефект, а й глибокий профілактичний вплив на ротову порожнину.

Навіщо потрібна чистка зубів

Як би ретельно ти не чистив зуби, якими б засобами не користувався - повністю позбутись зубного нальоту в домашніх умовах тобі, на жаль, не вдасться. Частинки нальоту залишаються у важкодоступних місцях на емалі, і з часом, в процесі мінералізації вони перетворюються на зубний камінь. Такі тверді відкладення - особливо сприятливе середовище для появи та розмноження шкідливих бактерій, що спричиняють виникнення запальних процесів та різноманітних небезпечних захворювань.

Систематична та своєчасна гігієна зубів у Львові в Космічній стоматології Драганчука, дозволяє уникнути цих проблем. Наші фахівці делікатно та безболісно проведуть професійну чистку зубів та усунуть шкідливі наліт та камінь, щоб запобігти виникненню неприємних захворювань в майбутньому.

Переваги чистки в стоматології

Якщо ти раніше ніколи не робив професійну гігієну, тобі може здатись, що чистка в стоматологічному кабінеті нічим особливо не відрізняється від щоденного догляду. Але це не так, бо професійна чистка має ряд особливостей та переваг:

  1. Наш фахівець має доступ до найвіддаленіших кутків твоєї ротової порожнини, що завдяки його позаземним знанням дозволяє об’єктивно оцінити її стан .
  2. Наліт та зубний камінь утворюються не лише на надясневій поверхні зуба, а глибоко під яснами. Видалити такі відкладення в домашніх умовах тобі не вдасться, а саме в них розвиваються хвороботворні бактерії.
  3. Професійна гігієна ротової порожнини у Львові, в Космічній стоматології Драганчука, проводиться висококваліфікованими спеціалістами, з використанням космічного інструменту та обладнання, що унеможливлює травмування твоїх зубів та ясен.
  4. Гігієну твоєї ротової порожнини ми завершимо поліруванням поверхні зубів, що дозволяє уникнути подальшого формування твердих відкладень.

Як часто потрібна гігієна ротової порожнини

Професійна гігієна - це безпечна процедура, ти можеш її робити, коли захочеш, але ми б рекомендували робити її не рідше ніж раз на пів року.

Якщо ти палиш, часто вживаєш каву та алкогольні напої, маєш проблеми зі шлунково-кишковим трактом чи стоматологічні захворювання - періодичність проведення гігієни тобі варто обговорити з твоїм лікарем.

Якщо тобі встановлено протези, проводити чистку варто не рідше ніж раз 3-4 місяці.

До окремої категорії належать пацієнти хворі на пародонтит, адже вони потребують регулярного та глибокого чищення підясневих кишень.
 

Тривалість гігієни ЗЕМНА (1 год): 
Підходить для пацієнтів, які проводять гігієну регулярно, кожних 3-6 місяців.
-повна вартість для однієї людини: 2040 грн
- запис у двох: по 1720 грн за людину (перший платить 3440 за двох, а другому ми ставимо на аванс і протягом року можна скористатись послугою)
- ручні інструменти Hu-Friedy (USA)
- звуковий наконечник Kavo (Germany)
- апарат Kavo Propfyflex 4 Air Polisher.
- порошок KaVo PROPHYpearls зі смаком на вибір: апельсин, м’ята, вишня, чорна смородина, персик, нейтральний.

Тривалість гігієни КОСМІЧНА (2 год):
Підходить для пацієнтів, які роблять гігієну вперше, не робили гігієну більше року, із підвищеною чутливістю зубів та ясен, та пацієнтів із негативним попереднім досвідом проведення цієї процедури. 
-повна вартість для однієї людини: 2590 грн
- запис у двох: по 2270 грн за людину (перший платить 4540 за двох, а другому ми ставимо на аванс і протягом року можна скористатись послугою)
- визначення гігієнічого індексу
- скринінг тест ясен на визначення прихованих захворювань
- урок по догляду за ротовою порожниною
- рекомендації по засобах для догляду.
- ручні інструменти Hu-Friedy (USA), 
- спеціалізований апарат EMS (Switzerland) 
- спеціалізовані порошки EMS AIR-FLOW PERIO, AIR-FLOW PLUS, AIR-FLOW CLASSIC зі смаком на вибір: вишня, лимон, м’ята, нейтральний.

Галерея

ufo

Встановити контакт

Наші адміністратори дадуть відповідь на будь-яке Ваше запитання щодо послуги

Записатись самостійно

через Земні месенджери:

Вартість послуг
Космічна гігієна зубів 2 790 грн.
Космічна гігієна за умови запису у двох 2 470 грн.
Земна гігієна 2 240 грн.
Земна гігієна за умови запису у двох 1 920 грн.
Спеціалісти
Юля
Юля

Гігієніст - пародонтолог

Сторінка лікаря
Записатись
КОСМІЧНІ СЕРТИФІКАТИ
Позаземні переваги
Унікальний космічний інтерʼєр з можливістю відчути себе на зорельоті
Унікальний космічний інтерʼєр з можливістю відчути себе на зорельоті
Індивідуальні параметри температури та вологості в кожному кабінеті
Індивідуальні параметри температури та вологості в кожному кабінеті
Вузькоспеціалізовані лікарі для здійснення комплексного плану лікування
Вузькоспеціалізовані лікарі для здійснення комплексного плану лікування
Німецьке Стоматологічне обладнання класу Мерседес
Німецьке Стоматологічне обладнання класу Мерседес
Персоналізований мобільний додаток для клієнтів
Персоналізований мобільний додаток для клієнтів
Голосові асистенти
Голосові асистенти

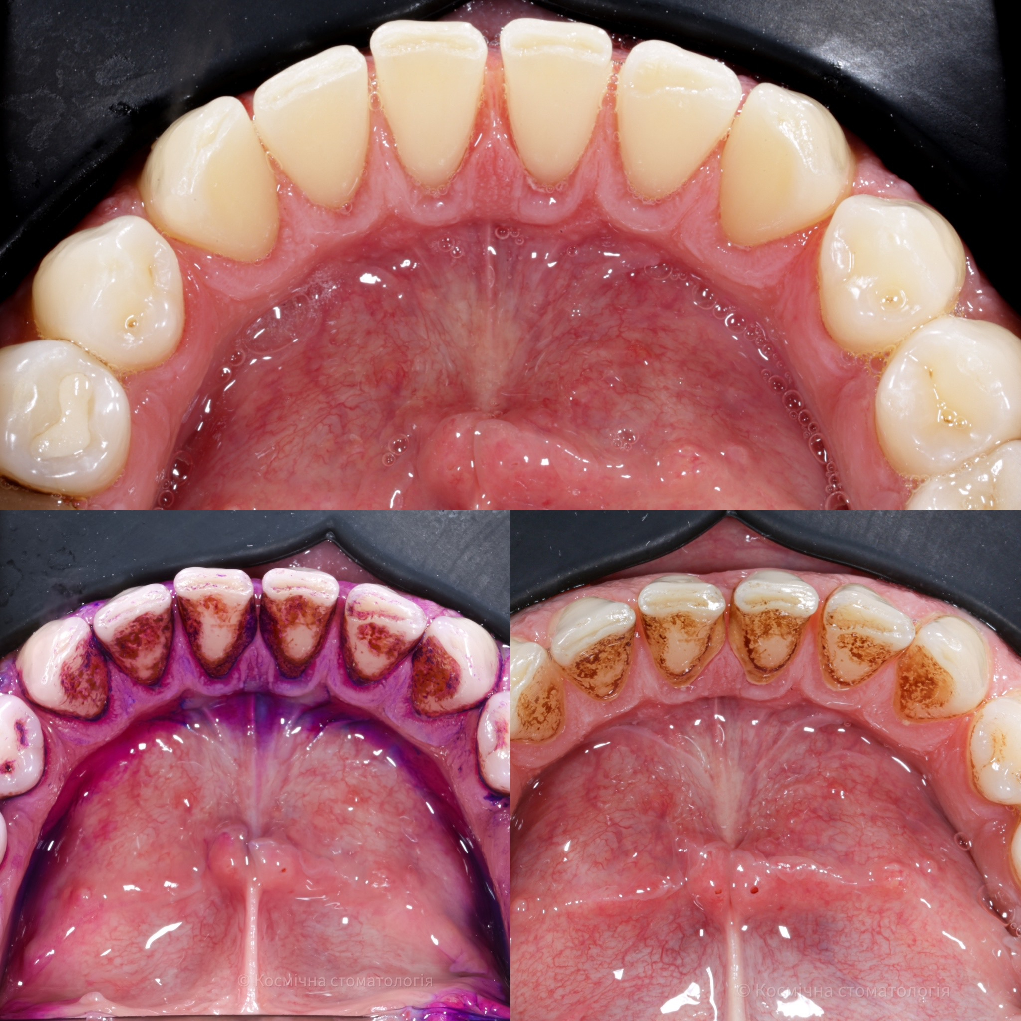
Професійна гігієна (чистка) зубів складається з кількох етапів

  • Комп'ютерна анестезія у разі підвищеної чутливості зубів.
  • Зняття каменю ультразвуковим девайсом SIRONA (Німеччина) та звуковим наконечником KAVO (Німеччина) з електронним регулюванням потужності.
  • Зняття каменю у важкодоступних місцях пародонтальними кюретами HU-Friedy.
  • Зняття нальоту гігієнічними перлинами KaVo PROPHY pearls SUPRAGINGIVAL CALCIUM CARBONATE в індивідуальних пакуваннях із ароматом на вибір: персик, апельсин, м'ята, чорна смородина та нейтральний смак.
  • Полірування швейцарською пастою Proxyt Ivoclar Vivadent для блиску та природної білизни.
  • Діагностика прихованих захворювань ясен (скрінінг-тест).
  • Покриття зубів фтористим лаком у місцях підвищеної чутливості;
  • Ремінералізуюча терапія;

Ціни на чистку зубів у Львові залежать від клініки, яку ти обереш для проведення гігієни. Але якщо ти шукаєш оптимальне співвідношення ціна- якість в поєднанні з неймовірним сервісом, Космічна стоматологія Драганчука - єдине правильне рішення. А ще ми отримуємо позаземні знання за допомогою телепатії, тільки про це - нікому!

Ультразвукова чистка зубів

Зубний камінь, в залежності від місця утворення, поділяється на над- та підясенний. Найбільшу небезпеку для здоров'я зубів становить другий тип, адже це дуже сприятливе середовище для шкідливих бактерій.

При проведенні професійної гігієни застосувується ультразвуковий скалер, що дозволяе видалити зубний камінь разом з хвороботворними бактеріями з підясенних кишень.

Повітряно-абразивна чистка зубів (Air Flow)

Завдяки піскоструменевому апарату з технологією Air Flow, який використовуючи тиск повітря та води, подає на зубну емаль спеціальний абразивний склад, зуби можна очистити не лише від м’якого нальоту, а й від пігменту. Для видалення нальоту, в Космічній стоматології Драганчука ми використовуємо KaVo prophy pearls supragingival calcium carbonateneutral.

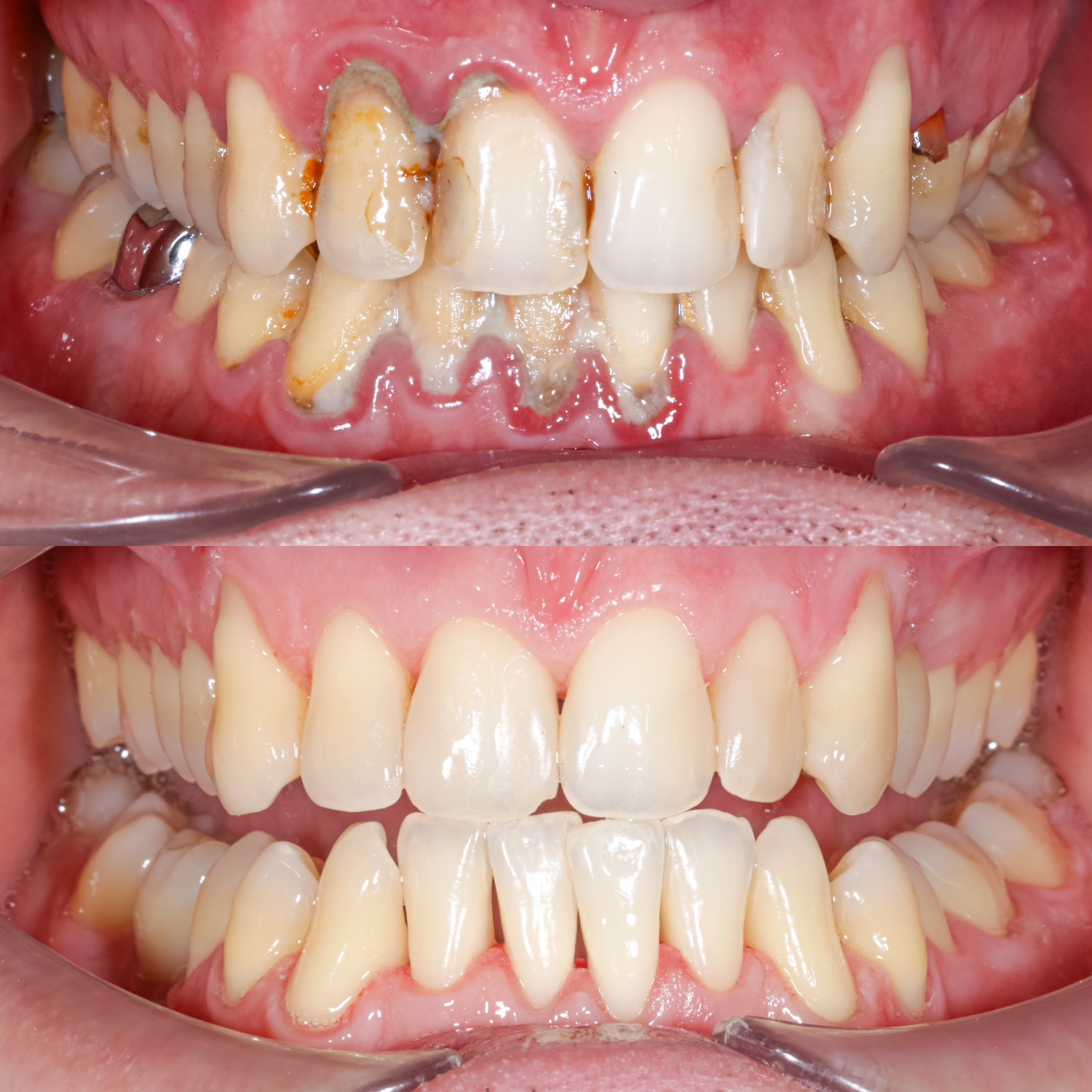
Чистка зубів щіточками та пастами

Фінальний етап професійної гігієни - полірування спеціальними щіточками та пастою, щоб усунути мікротріщини та шорохуватості, що виникли після чистки та видалити залишки нальоту, що могли в них залишитись. Це дозволяє суттєво уповільнити формування нових відкладень.

Полірування зубної емалі гумками

Кінцеве полірування поверхні зубів проводиться із застосуванням різних насадок, зокрема спеціальних гумок, що надає зубам ідеальної гладкості та блиску. Спеціальні гумові насадки відмінно справляться з наданням естетичної довершеності твоїй посмішці.

Якщо тебе зацікавила гігієнічна чистка зубів, ціна у Львові, детальний прайс на цю послугу ти зможеш знайти на нашому сайті. І, звісно, записатись на прийом теж можна онлайн, ми ж Космічна стоматологія.


Де проводять якісне лікування зубів у Львові?

Саме у Космічній стоматології Драганчука. Багато наших пацієнтів, встигли побувати у двох, а то й в п’яти стоматологічних клініках, але мали лише негативний досвід. З космічною стоматологією Драганчука, страхи можна залишити в минулому, адже наша приватна стоматологія у Львові - це космічний рівень технологій, якості та сервісу!

Чому варто обрати саме Космічну стоматологію Драганчука?

Ми пропонуємо тобі усю стоматологію в одній клініці. У нас ти отримаєш кваліфіковану стоматологічну допомогу: лікування і пломбування зубів та кореневих каналів, послуги з протезування, імплантації та стоматологічної хірургії. Космічна стоматологія Драганчука, це досвідчені фахівці, які навчались та стажувались в Берліні, Парижі, Вільнюсі та Будапешті, найсучасніші та найінноваційніші матеріали та обладнання.

Чим особливе лікування зубів саме у нас?

Лікування зубів у Космічній стоматології Драганчука передбачає використання інноваційних фотополімерних матеріалів з наночастинками. Ці матеріали дозволяють проводити лікування зубів малоінвазивно, точно, надійно і довговічно. Пломба ідеально пасує по кольору, формі та міцності.

ВІДГУКИ ЗЕМЛЯН
Лідія
Завжди робила гігієну порожнини рота в іншій клініці, але почала помічати, що ясна почали кровити та і наліт видаляють не так вже й ретельно. Звернулась в клініку космічної стоматології Драганчука і відчула різницю. Дякую, тепер тільки до вас.
Ігор
Завдяки, досконало проведеній гігієні в Космічній стоматології Дараганчука, вдалось запобігти серйозним проблемам з яснами та уникнути розвитку пародонтозу. Дякую за вашу клініку!
Юстина
Прийшла в космічну стоматологію Драганчука на відбілювання, попередньо зробила професійну гігієну ротової порожнини. Як виявилось в мене свої чудові білі зуби, просто в інших клініках так незадовільно робили чистку, що я й не знала про це.
Залишились питання?
Космічний стоматологічний центр

планета Земля, Україна 79026,
м. Львів, вул. Бойківська 1

+38 097 082 0000

draganchuk.com.ua@gmail.com

Понеділок - Неділя
08:30 - 20:30

Справжній онлайн запис

Записатись самостійно у нашу космічну стоматологію на зручний земний день та годину

Записатись самостійно

через Земні месенджери:

Spock Star Trek Вітаємо! Ваш сигнал вже прямує в наш центр